Aller au contenu principal
Inlay core, dent pivot, matériaux, remboursement et formation dentaire : un guide clair pour comprendre la restauration des dents dévitalisées et ses enjeux pédagogiques.
Inlay core et formation médicale : comprendre la restauration des dents dévitalisées

Rôle de l’inlay core dans la restauration dentaire moderne

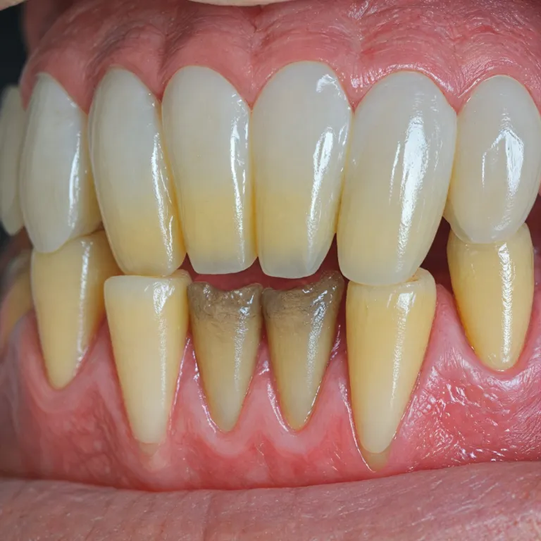
L’inlay core occupe une place centrale dans la restauration dentaire contemporaine. Ce dispositif combine un inlay et un core pour reconstruire une dent dévitalisée fragilisée, avant la pose d’une couronne. Pour un futur chirurgien dentiste en formation, comprendre cette interface entre racine, moignon et prothèse est essentiel.

Lorsqu’une dent est très abîmée, la simple obturation par inlay ou onlay ne suffit plus. La dent dévitalisée perd de la substance, la racine devient le dernier ancrage fiable, et l’inlay core sert alors de pivot interne pour soutenir la couronne. Cette restauration s’intègre dans une stratégie globale de santé dentaire, qui vise à préserver les tissus dentaires restants plutôt qu’à recourir trop vite à un implant dentaire.

Le cœur du dispositif est le tenon, parfois appelé pivot, qui s’insère dans le canal radiculaire. Autour de ce tenon, le core métallique ou le core en matériau composite reconstitue le moignon, permettant ensuite la pose d’une couronne inlay ou d’une couronne bridge. Les étudiants doivent comparer les indications de l’inlay onlay, de l’onlay inlay et de l’inlay core, afin de choisir la meilleure solution de restauration pour chaque dent abîmée.

La durée de vie d’un inlay core dépend de nombreux facteurs cliniques. La qualité de la préparation dentaire, l’état de la racine et la précision de la prothèse influencent directement la santé dentaire à long terme. Dans ce contexte, la formation médicale doit insister sur la planification, la communication avec le prothésiste et l’évaluation du pronostic avant de transformer une dent en dent pivot.

Choisir entre inlay core, onlay et implant dentaire en formation

Pour un dentiste en formation, le choix entre inlay core, onlay et implant dentaire représente un exercice clinique complexe. Une dent dévitalisée peut parfois être restaurée par un simple inlay onlay, mais lorsque la perte de substance est trop importante, le recours à un core inlay devient plus pertinent. L’implant dentaire ne doit intervenir qu’en dernier recours, lorsque la racine ne peut plus assurer un ancrage fiable.

La décision repose sur l’analyse fine de la racine et de la structure résiduelle. Une dent abîmée mais avec une racine saine peut recevoir un pivot inlay et une couronne, alors qu’une dent trop fracturée nécessitera une extraction et un implant dentaire. Les étudiants doivent apprendre à évaluer la santé des tissus dentaires et dentaires de soutien, afin de proposer une solution de restauration adaptée à chaque situation clinique.

Dans ce cadre, la compréhension des indications de l’onlay inlay et de l’inlay core fait partie des compétences clés. Les formations avancées en prothèse dentaire et en endodontie abordent ces choix thérapeutiques, en lien avec d’autres techniques comme la disjonction maxillaire ou les infiltrations, détaillées dans des ressources sur l’enjeu des gestes techniques pour la formation médicale. Cette approche intégrée renforce la capacité du futur chirurgien dentiste à articuler diagnostic, pronostic et plan de traitement.

La durée de vie d’une couronne inlay ou d’une couronne bridge sur inlay core dépend aussi du matériau choisi. Le core métallique reste une référence pour la solidité, tandis que la céramique zircone offre une esthétique supérieure pour la couronne et parfois pour certaines parties de la prothèse. Les étudiants doivent donc maîtriser les avantages et limites de chaque matériau, en tenant compte de la santé globale du patient et de ses attentes fonctionnelles.

Matériaux de l’inlay core et enjeux pédagogiques pour le chirurgien dentiste

Les matériaux utilisés pour l’inlay core constituent un sujet majeur de formation pour tout chirurgien dentiste. Le core métallique, souvent en alliage précieux ou non précieux, offre une excellente résistance mécanique, mais peut poser des questions esthétiques sous certaines couronnes. À l’inverse, les systèmes associant céramique zircone et composites permettent une intégration plus discrète dans l’arcade dentaire.

Le choix du matériau influence la transmission des forces à la racine et à la dent pivot. Un inlay core mal adapté peut fragiliser la dent dévitalisée, réduire la durée de vie de la restauration et compromettre la santé dentaire à long terme. Les formations spécialisées insistent donc sur la compréhension des propriétés mécaniques et biologiques des différents matériaux dentaires utilisés pour les tenons et les moignons.

Les étudiants doivent aussi comparer les indications des inlays, des onlays et des inlays onlays par rapport aux inlays cores. Une dent abîmée mais encore suffisamment solide pourra recevoir un onlay inlay, alors qu’une dent très délabrée nécessitera un véritable core dent avec pivot. Les ressources pédagogiques détaillées, comme celles consacrées à la compréhension des techniques orthodontiques et prothétiques complexes, aident à structurer cette réflexion clinique.

Dans la pratique, la collaboration entre dentiste et prothésiste est déterminante pour la qualité de la prothèse finale. Le choix entre couronne inlay, couronne bridge ou autre solution prothétique doit tenir compte de la morphologie du moignon, de la racine et de la future occlusion. Cette approche globale de la restauration dentaire s’inscrit dans une vision de la santé inlay et de la santé bucco dentaire centrée sur la préservation des structures existantes.

Aspects économiques, remboursement et formation à la relation patient

La question du remboursement de l’inlay core occupe une place importante dans la relation entre dentiste et patient. En France, l’Assurance maladie et la Sécurité sociale encadrent une partie de la prise en charge des actes dentaires, mais la prothèse reste souvent partiellement remboursée. Les complémentaires santé et la mutuelle complètent ce remboursement, avec des niveaux de couverture variables pour les couronnes, les bridges et les implants dentaires.

Pour une personne en quête d’information, comprendre la différence entre remboursement de la dent pivot, de la couronne inlay et de l’implant dentaire est essentiel. Le chirurgien dentiste doit expliquer clairement le coût de l’inlay core, la part couverte par l’Assurance maladie et celle prise en charge par la complémentaire santé. Cette pédagogie financière fait désormais partie intégrante de la formation médicale, au même titre que la maîtrise technique du pivot inlay ou du core métallique.

Les étudiants apprennent aussi à présenter les différentes solutions de restauration en fonction du budget du patient. Une dent dévitalisée peut parfois être restaurée par un inlay onlay plutôt que par un implant, ce qui modifie le niveau de remboursement et la stratégie globale de santé dentaire. Les formations en communication clinique insistent sur la nécessité de relier chaque choix prothétique à la durée de vie attendue de la restauration et à la santé dentaires globale.

Pour approfondir ces compétences transversales, les futurs praticiens peuvent s’appuyer sur des ressources dédiées au choix de la formation médicale, comme ce guide sur le choix d’une formation pour réussir en médecine. Cette approche renforce la crédibilité du praticien, qui devient capable d’expliquer à la fois les aspects techniques de l’inlay core et les implications économiques pour la santé du patient.

Enjeux de la formation clinique autour de la dent dévitalisée

La gestion de la dent dévitalisée représente un défi pédagogique majeur pour les facultés de chirurgie dentaire. L’inlay core, la dent pivot et le pivot inlay exigent une maîtrise fine de l’anatomie radiculaire et des techniques d’endodontie. Les étudiants doivent apprendre à évaluer la faisabilité d’un core dent par rapport à une extraction suivie d’un implant dentaire.

Les travaux pratiques permettent de s’exercer à la préparation de la racine, à la mise en place du tenon et à la reconstitution du moignon. Une dent abîmée mais correctement dévitalisée peut ainsi retrouver une fonction durable grâce à une restauration par inlay core bien conçue. La durée de vie de cette restauration dépendra ensuite de la qualité de la couronne, de l’occlusion et de la santé dentaires générale du patient.

La comparaison entre inlay, onlay, inlay onlay et inlay core fait partie des compétences évaluées en fin de cursus. Les étudiants doivent justifier le choix d’un core métallique ou d’un matériau plus esthétique, en tenant compte de la visibilité de la dent et des contraintes fonctionnelles. Cette réflexion clinique s’inscrit dans une vision globale de la santé inlay, où chaque solution prothétique est reliée à un objectif de préservation tissulaire.

Enfin, la formation insiste sur la prévention et le suivi à long terme des dents restaurées. Un contrôle régulier permet de vérifier l’intégrité de la couronne bridge ou de la couronne inlay, ainsi que l’état de la racine et du pivot. Cette approche continue de la santé dentaire contribue à renforcer la confiance du patient et à valoriser le rôle du dentiste comme acteur central de la santé bucco dentaire.

Simulation, cas complexes et raisonnement clinique autour de l’inlay core

Les cas complexes impliquant un inlay core constituent un terrain privilégié pour l’apprentissage du raisonnement clinique. Les simulateurs et les cas cliniques virtuels permettent aux étudiants de s’entraîner à choisir entre dent pivot, implant dentaire et autres prothèses. Ils apprennent ainsi à intégrer l’état de la racine, la quantité de dent abîmée et la santé générale du patient dans leur décision.

Dans ces scénarios, la comparaison entre core inlay, onlay inlay et inlay onlay devient concrète. Une dent dévitalisée avec une racine solide pourra recevoir un core métallique et une couronne, alors qu’une dent trop fragilisée nécessitera une autre solution. Les enseignants insistent sur la nécessité de relier chaque choix à la durée de vie attendue de la restauration et à la santé dentaires globale.

Les étudiants sont également formés à la gestion des complications, comme la fracture de racine ou le descellement du pivot. La compréhension des limites mécaniques de la céramique zircone, des alliages métalliques et des composites est essentielle pour anticiper ces risques. Cette approche renforce la crédibilité du futur praticien, capable d’expliquer au patient pourquoi une solution de restauration est préférable à une autre.

Enfin, la réflexion éthique occupe une place croissante dans la formation. Proposer un inlay core plutôt qu’un implant dentaire peut parfois préserver davantage de tissus dentaires, mais impose un suivi rigoureux. Les étudiants apprennent à articuler bénéfices, risques, coût et remboursement, en tenant compte du cadre fixé par l’Assurance maladie, la Sécurité sociale et la complémentaire santé du patient.

Perspectives de recherche et évolution de la formation sur l’inlay core

La recherche en odontologie continue d’explorer de nouvelles pistes pour améliorer l’inlay core. Les matériaux évoluent, avec des combinaisons innovantes de céramique zircone et de composites destinées à optimiser la résistance et l’esthétique. Ces avancées obligent les programmes de formation à s’adapter en permanence pour intégrer les données les plus récentes.

Les études cliniques s’intéressent à la durée de vie des différentes restaurations, en comparant inlay, onlay, inlay onlay et inlay core. Elles évaluent aussi l’impact des choix de matériaux sur la santé dentaire et sur la préservation de la racine. Les résultats orientent progressivement les recommandations professionnelles, influençant la manière dont les dentistes restaurent les dents dévitalisées et les dents pivots.

Parallèlement, la recherche en pédagogie médicale s’interroge sur les meilleures méthodes pour enseigner ces techniques complexes. Les simulations, les cas réels supervisés et l’analyse critique des plans de traitement sont au cœur de cette réflexion. L’objectif est de former des praticiens capables de choisir la bonne solution de restauration, qu’il s’agisse d’un core dent, d’un implant dentaire ou d’une autre prothèse.

Pour la personne en quête d’information, ces évolutions signifient que les traitements par inlay core deviennent de plus en plus fiables et personnalisés. Le dialogue avec le dentiste, éclairé par une compréhension minimale des notions de pivot inlay, de couronne inlay et de santé inlay, permet de participer activement aux décisions. Cette coopération renforce la confiance et contribue à une meilleure santé bucco dentaire sur le long terme.

Chiffres clés sur la restauration des dents dévitalisées

  • Proportion élevée de dents dévitalisées restaurées par couronne et inlay core plutôt que par extraction.
  • Durée de vie moyenne des restaurations par inlay core comparable ou supérieure à certaines prothèses plus invasives.
  • Taux de succès clinique élevé lorsque la racine et le moignon sont correctement préparés.
  • Part significative du budget de santé dentaire consacrée aux prothèses et aux couronnes.

Questions fréquentes sur l’inlay core et la formation dentaire

Qu’est ce qu’un inlay core pour une dent dévitalisée ?

Un inlay core est une pièce prothétique qui s’ancre dans la racine d’une dent dévitalisée grâce à un tenon, puis reconstitue le moignon pour supporter une couronne. Il permet de transformer une dent très abîmée en dent pivot fonctionnelle. Cette solution vise à préserver la racine et à éviter, lorsque c’est possible, le recours immédiat à un implant dentaire.

Quelle est la durée de vie d’un inlay core par rapport à un implant dentaire ?

La durée de vie d’un inlay core dépend de la qualité de la racine, de la préparation et de la couronne associée. Dans de bonnes conditions, elle peut être comparable à celle d’un implant dentaire, surtout lorsque la santé dentaire générale est bien contrôlée. Le choix entre ces deux options doit être discuté avec le dentiste en fonction du pronostic et des attentes du patient.

Comment se passe le remboursement d’un inlay core par l’Assurance maladie ?

L’Assurance maladie et la Sécurité sociale remboursent une partie de l’acte lié à la dent pivot et à la couronne, selon une base tarifaire définie. La mutuelle ou la complémentaire santé peut compléter ce remboursement, en particulier pour les couronnes et certaines prothèses. Il est recommandé de demander un devis détaillé au dentiste pour connaître la part réellement prise en charge.

Pourquoi choisir un inlay core plutôt qu’une simple obturation ou un onlay ?

Lorsque la dent est très abîmée et que la structure résiduelle est insuffisante, une simple obturation, un inlay ou un onlay ne suffisent plus à assurer la solidité. L’inlay core permet de s’ancrer dans la racine et de reconstituer un moignon stable pour recevoir une couronne. Ce choix vise à garantir une meilleure résistance mécanique et une durée de vie plus longue de la restauration.

Les étudiants en chirurgie dentaire sont ils spécifiquement formés à l’inlay core ?

Oui, la formation en chirurgie dentaire comprend des enseignements théoriques et pratiques sur l’inlay core, la dent pivot et les différentes prothèses. Les étudiants apprennent à évaluer l’indication, à préparer la racine et à collaborer avec le prothésiste pour concevoir la restauration. Cette compétence fait partie intégrante du cursus, car elle est essentielle pour la prise en charge des dents dévitalisées.

Publié le